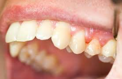
Bleeding Gums
Bleeding gums can be a sign of chronic inflammation. Chronic inflammation is also called low-grade inflammation because it produces a steady, low-level of inflammation throughout the body, shown by a rise in immune system markers found in blood or tissue. Inflammation is part of the body’s defence mechanism and plays a role in the healing…



