A Full Range of Dental Services
Check our list of dental services based on natural and biological philosophy.
Biological dentistry
Biological dentistry describes a philosophy where there is a more holistic approach to oral health and primarily cares for patient’s health and safety.
Nutritional Counselling
I am offering a Naturopathic Dental Assessment that through diet and life style counselling, supports patients to be proactive…
Nutrition therapy
Nutritional therapy combines nutrition with naturopathy (natural drug-free medicine), in order to promote good health and support underlying…
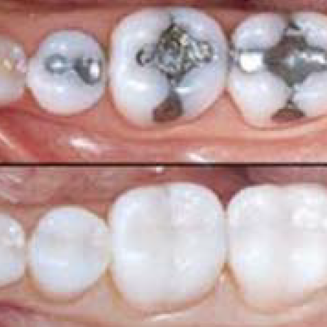
Mercury Free Dentist
Many people are concerned about their amalgam fillings and consider to remove them.
Dental amalgam fillings (silver-coloured) – are a mixture of metals, including mercury, silver, tin and copper. They are hard-wearing…
Dental amalgam fillings (silver-coloured) – are a mixture of metals, including mercury, silver, tin and copper. They are hard-wearing…
Tools to Suport Health
The best Counselling of Tools to Suport Health.
Myobrace Hove
Myobrace® is designed to deal with these incorrect myofunctional habits by teaching children to breathe through their nose, rest the tongue correctly in the roof of the mouth, swallow correctly and continue widening the jaws so they grow to their full…






