Mercury Free Dentist
Mercury Free Dentistry
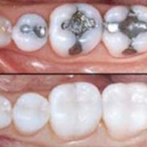
Dental amalgam fillings (silver-coloured) – are a mixture of metals, including mercury, silver, tin and copper. They are hard-wearing so are often used on the back teeth.
A lot of patients are under the illusion that by removing their mercury fillings they can expect an improvement in their health. Although I believe strongly that mercury is behind or at least contributing to a great number of ills, changing the fillings and doing nothing else is unlikely to achieve this.
Removing fillings only stops any more mercury getting into the body from the amalgam. There are several environmental sources of mercury, one of wich is fish, and it is a fact that traces of mercury are found in many tissues and organs.
That’s why I like to talk about toxic load and make people be aware of the many toxic sources that surround us.
Safe Amalgam Removal - SMART
For more information, please follow the link: https://iaomt.org/resources/safe-removal-amalgam-fillings/
“Mercury-free” is a term with a wide-range of implications, but typically refers to dental practices that do not place dental mercury amalgam fillings.
“Biological” or “Biocompatible” dentistry typically refers to dental practices that utilize mercury-free and mercury-safe dentistry while also considering the impact of dental conditions, devices, and treatments on oral and systemic health, including the biocompatibility of dental materials and techniques.
The word of our head doctor
Dr. Ana Surwald
Dental Biocompatible materials
For some, the effects of dental materials on their health can be significant. Today we are exposed to thousands of potentially toxic substances that didn’t exist 50, or even 20 years ago and every year more are added to the list. The effects on health of man-made substances vary from person to person. Some may not be affected, while, for others, the same substance may be toxic and elicit a harmful reaction.
I seek to use the safest and more biocompatible materials. I offer BPA free composite fillings and other metal free options like e-max crowns or on-lays, trinia dentures, clear acrylic dentures and ceramic implants.





